当前位置: 首页
>动态发布 >医院新闻
超声下的“飘带” 急诊的“冲锋号”

近日,兰州石化总医院(甘肃中医药大学第四附属医院)超声科联合急诊科、影像科,以高效协作的“急诊诊疗闭环”,成功为一名主动脉夹层患者实现早期精准诊断,凸显了超声检查在急诊心血管疾病早期筛查中的价值。

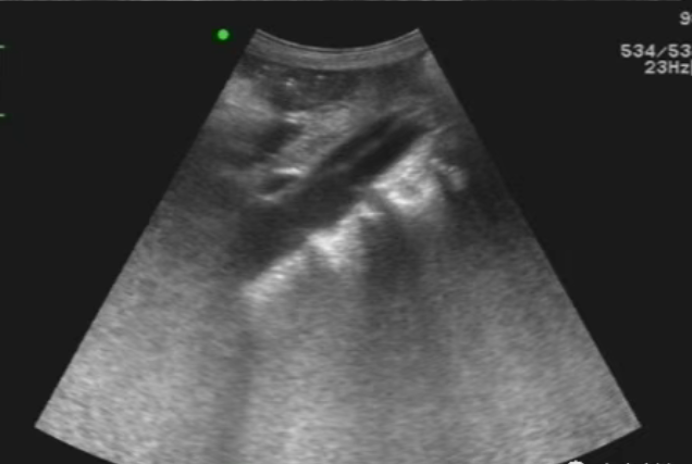
凌晨清脆的急诊电话响起,超声科的“超人”迅速将床旁超声机推至抢救室,患者烦躁不安、大汗淋漓、面色苍白,不停翻腾并指出后背像被撕开一般疼痛,初步询问患者有高血压病史,并且左下肢疼痛、冰凉,经过迅速简短查看,发现患者升主动脉及主动弓管腔内有“飘带样”回声若隐若现,并且有左室前壁室壁运动异常,左下肢动脉血栓形成并闭塞,超声医师迅速告知急诊医生,患者极大可能是主动脉夹层,急诊科迅速做出应对,最终在CT检查的共同努力下,患者确诊为主动脉夹层I型。

超声科作为急危重症影像学检查的“先遣队”,接到通知后迅速抵达急诊科,第一时间为患者开展床旁超声检查,早期识别到大动脉内“飘带样”回声,临床应高度警惕,迅速拉起急诊的“冲锋号”。超声有时也会有一些伪像,以及患者的体型、身体状况、状态,还有开展检查环境等的局限性,会导致诊断难度增加,不能完全明确诊断的情况,但是提供的特殊现象,临床及时针对这些异常进行其它影像学检查是非常必要的!三个科室形成“快速识别-紧急评估-精准确诊”的闭环,最终为患者后续的介入治疗抢出了宝贵的“黄金窗口期”。超声检查在急诊心血管疾病的早期筛查中,既是“快速侦察兵”,也是“精准导航仪”,未来科室将继续发挥技术优势,与临床科室紧密联动,为患者生命健康筑起更坚实的第一道防线。

超声科 张红利



Produced By 大汉网络 大汉版通发布系统