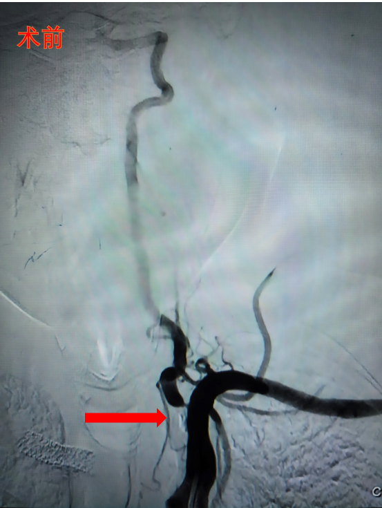
近日,兰州石化总医院(甘肃中医药大学第四附属医院)神经内科团队成功应用单纯药物涂层球囊扩张术,为一位椎动脉开口狭窄患者实施介入治疗。该项技术的成熟开展,标志着医院在脑血管介入领域已具备“介入无植入”先进技术的全面临床应用能力,为区域内椎动脉狭窄患者提供了更优治疗选择。
椎动脉作为大脑后循环供血的主要通路,其开口部位因血流冲击及解剖特点,容易形成动脉粥样硬化性狭窄。患者常表现为反复头晕、行走不稳,严重时可能引发后循环脑梗死,导致残疾甚至危及生命。面对这一临床难题,传统的支架植入术虽能短期内恢复血流通畅,但存在支架内再狭窄、长期服用双抗药物等局限。
单纯药物涂层球囊扩张术作为新一代血管介入技术,其创新价值在于将介入治疗推向“植入物零存留”的新阶段。该技术通过以下环节实现治疗效果最大化:
精准定位:在数字减影血管造影(DSA)系统引导下,将特制的药物涂层球囊精准输送至椎动脉狭窄段;
靶向治疗:球囊在病变部位扩张时,不仅可机械性扩张血管管腔,其表面的紫杉醇药物还可高效渗透至血管内膜,有效抑制血管壁的病理性增生;
无植入理念:手术完成后,球囊导管完全撤出体外,实现了“治疗即走”的理想效果,避免了传统支架作为异物长期存留体内的各种隐患。
此项技术的临床应用,使患者在获得确切血运重建的同时,显著降低了远期再狭窄风险,同时将术后双抗药物治疗时间缩短至1个月以内,大幅减少了长期抗凝治疗带来的出血风险,真正实现了疗效与安全性的最佳平衡。
此次手术的成功实施,得益于医院神经内科团队在脑血管介入领域的深厚积累。术前,团队通过高分辨率磁共振管壁成像等先进检查手段,精确评估病变性质;术中凭借丰富的经验,精准控制球囊扩张的压力与时间;术后建立了系统的随访管理体系,确保患者获得全程化医疗照护。
接受该手术的患者术后恢复顺利,困扰多时的头晕症状明显缓解,术后三天即康复出院。经一个月随访复查,患者椎动脉血流通畅,无再狭窄迹象,日常生活质量得到显著提升。
兰州石化总医院(甘肃中医药大学第四附属医院)始终秉持“以患者为中心”的医疗服务理念,紧跟医学技术发展前沿。医院将继续深化脑血管疾病微创介入诊疗技术的研究与应用,通过技术创新推动临床服务能力持续提升,为保障陇原百姓脑血管健康、推进“健康甘肃”建设发挥积极作用。
(神经内科 娄一海)
